Configuración de cookies

Menu

RM Cardíaca

RM Cardíaca

Descripción
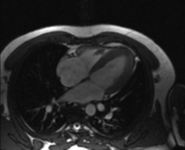
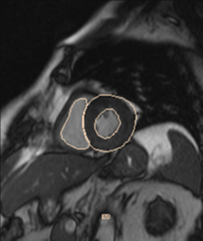
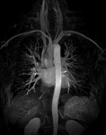
Es una prueba diagnóstica no invasiva que obtiene información morfológica y funcional del corazón y las estructuras adyacentes; de esta manera se pueden diagnosticar diferentes patologías congénitas y adquiridas, o bien realizar controles en pacientes con patología previa ya conocida. En la gran mayoría de casos es necesario el uso de contraste intravenoso (gadolinio) para completar el estudio, un tipo de contraste que raramente produce reacciones adversas. Durante la prueba, el técnico le pedirá varias veces que aguante la respiración durante 10-15 segundos para obtener las imágenes lo más claras posible. No se necesita preparación previa alguna por parte del paciente. La duración de la prueba es de aproximadamente 45-60 minutos. Está contraindicada en pacientes con marcapasos; el paciente debe avisar si es portador de implantes metálicos y/o clips quirúrgicos.


Preparación
Debe acudir a la cita con 5 horas en ayunas.


Importante
Pacientes diabéticos o con insuficiencia renal, deben consultar la preparación de cada prueba.