Configuración de cookies

Menu

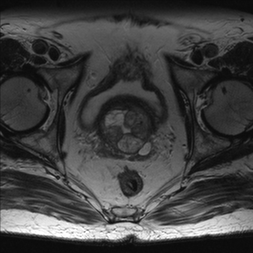
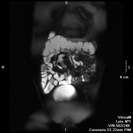
RM Pelvis

RM Pelvis

Descripción
Prueba diagnóstica no invasiva que consiste en la obtención de imágenes de alta definición anatómica de la pelvis mediante el empleo de un campo electromagnético y ondas de radio (con un emisor y un receptor). No utiliza radiación ionizante. Se realiza para estudiar patologías del útero, del ovario, de las trompas y la vagina, ya sean de origen tumoral, inflamatorio o vascular. Esta prueba permite valorar órganos como la vejiga urinaria, la unión entre los uréteres y la vejiga, la próstata, las vesículas seminales, la uretra, los huesos de la pelvis, etc A veces requiere el uso de contraste intravenoso (Gadolinio) para caracterizar las lesiones.


Preparación
Debe acudir a la cita con 5 horas en ayunas.


Importante
Pacientes diabéticos o con insuficiencia renal, deben consultar la preparación de cada prueba.