Configuración de cookies

Menu

El Centro

Inicio > El centro > Información práctica > Noticias > Enterografía por RMN

Enterografía por RMN

Ya puede realizarse en Resona Enteroresonancia


Fecha de publicación: 14/11/2014
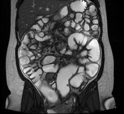
Enterografía por RMN

La enterografía por RMN es un tipo especial de resonancia magnética por imágenes (RMN) en la que se usa un agente de contraste para producir imágenes del intestino delgado.

La resonancia magnética nuclear (RMN) es un examen médico no invasivo que ayuda a que los médicos diagnostiquen y traten enfermedades.

La RMN emplea un campo magnético potente, pulsadas de radiofrecuencia y una computadora para crear imágenes detalladas de los órganos, tejidos blandos, huesos, y prácticamente el resto de las estructuras internas del cuerpo. La RMN no utiliza radiaciones ionizantes (rayos X).

Las imágenes detalladas obtenidas con la RMN les permiten a los médicos evaluar varias partes del cuerpo y determinar la presencia de ciertas enfermedades. De esta forma, las imágenes pueden examinarse en el monitor de una computador, transmitirse electrónicamente imprimirse o copiarse a un CD.

Los médicos usan la enterografía por RMN para identificar y localizar:

  • la presencia de y las complicaciones consecuencia de la enfermedad de Crohn y otras enfermedades inflamatorias del intestino
  • inflamación
  • causas de sangrado y anormalidades vasculares
  • tumores
  • abscesos y fístulas
  • obstrucciones intestinales

 

Volver al listado de noticias